loading

원데이 임플란트
정말 하루에 “완성” 되나요?

아닙니다.
하루에 완성되는 임플란트는
없습니다.
seoul sky dental clinic
’하루 만에 임플란트 치료가 끝난다’는 표현은 과장 광고에 가깝습니다.

임플란트 치료의 진짜 완성은 임플란트가 뼈와 결합(골유착)하고,
최종 보철이 안정적으로 자리 잡았을 때입니다.
이 과정에는 개인차를 고려해도 최소 4~6주의 시간이 필요합니다.

원데이 임플란트를 고려하기 전,
‘당일에 가능한 것’과 ‘시간이 필요한 것’을 정확히 아는 것이 중요합니다.
  • 하루에 가능한 것 : 발치 / 식립 / 뼈이식 / 예비 치아 장착
  • 시간이 필요한 것 : 임플란트와 뼈의 결합(골유착) / 단단히 씹을 수 있는 최종 보철

원데이 임플란트의 유형

일반
임플란트

잇몸회복

골유착

임시 보철물 제작

최종 보철물 제작

1발치

2임플란트 식립

3예비치아

4최종 본뜨기

5치료 완료

(약 6개월 이상)

발치 즉시
임플란트 식립

잇몸회복, 골유착

최종 보철물 제작

1발치, 임플란트 식립

2최종 본뜨기

3치료 완료

(약 3개월 이상)

임플란트 식립
즉시 수복

잇몸회복, 골유착, 예비 치아

최종 보철물 제작

1발치, 임플란트 식립,예비 치아

1일내 완성

2최종 본뜨기

3치료 완료

(약 3개월 이상)

발치 즉시 임플란트 식립

  • 발치와 임플란트 뿌리(픽스처) 심는 수술을 동시에 진행하는 방식입니다.
  • 골유착이 완료될 때까지 임플란트 상부(치아 머리)는 없이 기다립니다.

임플란트 식립 즉시 수복

  • 임플란트 뿌리를 심은 직후, 예비 치아를 즉시 장착하는 방법입니다.
  • 24시간 이내에 치아의 외형을 회복하는, 진정한 의미의 원데이 임플란트라고 할 수 있습니다.

이런 경우,
원데이 임플란트가 도움 됩니다.

seoul sky dental clinic

1. 앞니가 갑자기 빠졌거나 부러져서 당장 회복이 필요한 경우

2. 전체 임플란트 수술 후 임시 틀니를 사용하기 힘든 경우

3. 직장, 출장, 이사 등의 상황으로 시간 제약이 있는 경우

4. 잇몸 모양을 초기에 예쁘게 잡아가길 원하는 경우

원데이 임플란트 성공률
높이는 조건
seoul sky dental clinic

1. 튼튼하고 충분한 뼈가 있어야 합니다.

임플란트는 잇몸뼈에 고정되는 구조이기에 잇몸뼈의 양이 충분하고
밀도가 높아야 합니다.

2. 염증이나 급성 감염이 없어야 합니다.

잇몸이나 턱뼈에 심한 염증, 감염이 있으면 수술 후 회복이 어렵고
실패 위험이 높습니다. 충분히 염증을 치료하고 건강한 잇몸 상태에서
식립해야 뼈와 임플란트가 잘 붙습니다.

3. 전체 임플란트를 원데이로 하는 경우,
최소 4-6개의 임플란트 갯수가 필요합니다.

전체 임플란트 시 최소 4~6개의 임플란트가 균형 있게 심어져야 하루 만에
예비 치아를 끼워도 안전합니다. 뿌리(임플란트)가 충분히 있어야
씹는 힘을 고르게 받쳐 주기 때문에 뼈와 잇몸이 안정적으로 유지됩니다.

원데이 임플란트 VS 임시 틀니

원데이 임플란트는 빠른 일상 복귀와 안정적인 심미 회복에 도움됩니다.

완전히 고정되어 있어서 안정적

착용감

뺐다 끼웠다 해야 해서 헐거움, 이물감 발생 잦음

느낌이 자연치아와 거의 같아서 발음 적응 빠름

말, 발음

발음이 자주새고, 입천장이 막혀 있어서 어눌함

빈 공간을 자연스럽게 가림

외관

금속 고리가 보일 수 있고, 들썩임

중간 정도의 강도 식사 가능

식사

끼운 채로 먹기 불편, 탈락 걱정

고정식이라 일반치아와 같이 칫솔질

위생

분실, 냄새, 세척 번거로움

촬영, 발표, 대면 업무에 유리

생활편의

장시간 착용 시 피로감, 통증 호소 빈도 높음

왜 서울하늘에 원데이 임플란트인가?

100% 디지털 원데이 임플란트 시스템

스크류(나사) 고정 타입 예비 치아

병원 내 디지털 기공센터에서 즉시 제작

100% 디지털 원데이 임플란트 시스템

최신 구강 스캐너 트리오스5(TRIOST 5®)와 CBCT, 세계적 덴탈 디자인 프로그램
Dental System®으로 ‘100% 디지털 원데이 임플란트 시스템’을 실현합니다.

스크류(나사) 고정 타입 예비 치아

접착제가 아닌 스크류(나사) 방식으로 예비 치아를 고정합니다.
스크류 타입 예비 치아는 수술과 치아 제작은 더 까다롭지만,
접착제 잔여물로 인한 염증이 없고
강도가 더 크며, 편의성이 더 뛰어납니다.

접착제 고정 예비 치아 VS 스크류 고정 예비 치아

병원 내 디지털 기공센터에서 즉시 제작

수술, 구강 스캔, 디자인, 밀링(가공)을 병원내에서 원스톱으로 진행해
당일 예비치아 장착의 속도와 완성도를 높입니다.
치과의사와 기공사의 실시간 협업으로 최적의 결과를 제공합니다.

디지털 기공센터 바로 가기

서울하늘에치과
원데이 임플란트 치료 사례

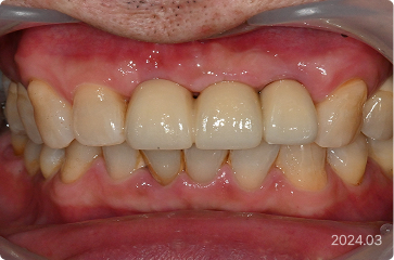
59세, 남 ㅣ 앞니 임플란트
“앞니 뿌리가 다 보여서 보기에 너무 안 좋아요.”
치료 전
원데이 임플란트
치료 후
  • 앞니 뼈 흡수 및 뿌리 과다 노출
  • 원데이 임플란트로 잇몸 및 치아 형태 복구
  • 발치,식립 > 최종 보철 약 2개월 내 완성
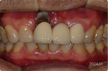
57세, 남 ㅣ전체 임플란트
“치아가 거의 없어서 식사가 어렵고, 일상생활이 제대로 안 돼요.”
치료 전
원데이 임플란트
치료 후
  • 대부분의 치아 상실, 식사 및 생활 불가능
  • 하루만에 전체 임플란트 식립
    3일만에 전체 즉시 기능 예비치아 장착
  • 6개월 후 최종 보철까지 완성
61세, 남 ㅣ해외 출장·짧은 일정
“잦은 해외 출장 때문에 내원해서 치료할 시간이 부족해요.”
치료 전
원데이 임플란트
치료 후
  • 해외 출장이 잦아 짧은 체류로 치료 시간 제한
  • 의식하진정(수면마취)하 발치 후
    8개 임플란트 식립, 다음날 예비 치아 장착
  • 발치 , 임플란트 식립 > 최종 보철
    약 2개월 내 완성
60세, 남 ㅣ중요한 일정 전
“딸이 곧 결혼하는데 그 전에 빨리 치료를 끝내고 싶어요.”
치료 전
원데이 임플란트
치료 후
  • 6개월 후 딸의 결혼식 등 중요한 일정 앞둔 상태
  • 의식하진정(수면마취) 하 전체 발치,
    임플란트 수술 후 원데이 예비 치아 장착
  • 발치 , 임플란트 식립 > 최종 보철
    약 4개월 내 완성
더 많은 치료 사례 보기

원데이 임플란트 자주 묻는 질문

Q

통증이나 부기는 어느 정도인가요?

A

수술은 국소마취 또는 진정마취 하에 진행되어 수술 중 통증은 거의 없습니다.
수술 후에는 개인차가 있지만 2~3일 정도 가벼운 부기와 뻐근함이 있을 수 있으며, 처방된 진통제와 냉찜질로 대부분 1주 이내에 호전됩니다.

Q

최종 보철(진짜 치아)은 언제 완성되나요?

A

예비 치아 장착 후 골유착이 안정되는 기간(평균 4~6주, 경우에 따라 2~3개월)을 거칩니다.
그 후 최종 보철물을 정밀 제작·장착하여 치료가 완료됩니다.
예비 치아 사용 기간 동안에도 일상생활과 가벼운 식사는 가능합니다.

Q

원데이 임플란트 비용은 어떻게 되나요?

A

치아 개수, 뼈 상태, 골이식 여부 등에 따라 달라집니다.
서울하늘에치과는 정밀 진단 후 개인별 꼭 필요한 비용만을 안내해드립니다.

Q

원데이 임플란트가 일반 임플란트보다 위험하지는 않나요?

A

조건이 적합하다면 위험도는 일반 임플란트와 비슷합니다.
단, 뼈의 양이 부족하거나 염증이 심한 경우 무리한 당일 수술은 오히려 실패율을 높일 수 있으므로 사전 진단이 매우 중요합니다.

  • 개인에 따라 치료 결과는 다를 수 있습니다.
  • 출혈, 붓기, 감염, 신경손상 등의 부작용이 나타날 수 있습니다.
  • 수술 전 반드시 의료진과 충분한 상담 후 진행하시길 바랍니다.

상담문의