loading

임플란트가 흔들려요, 빠졌어요…

임플란트, 한 번 심으면 평생 문제없이 쓸 수 있을까요?
임플란트 시술 횟수가 늘어나면서 임플란트 부작용 사례 역시 빠르게 증가하고 있습니다.
임플란트의 누적 성공률은 약 90~95%로 보고되지만,

임플란트 실패는 누구에게나, 언젠가는 일어날 수 있는 일입니다.

임플란트, 처음 할 때 제대로 하는 것, 물론 중요합니다.
하지만 잘못되었을 때 바로 잡는 것은 더욱 중요할 수 있습니다.

실패의 원인을 아는 것이 실력

임플란트가 불편할 때,
“관리를 잘 못해서”라며 환자 탓만 들으셨나요?
다른 치과에서 했던 치료라고 거절당하거나
제대로 된 설명조차 듣지 못한 경험은 없으셨나요?

임플란트를 다시 해야 한다면, ‘ 왜 실패했는지’부터 정확히
알아야 합니다. 원인을 명확히 파악해야 환자에게 최선의 해결책을
찾을 수 있고, 실패를 반복하지 않을 수 있습니다.

더 완벽한 재도전, 임플란트 재수술
서울하늘에치과는 단순히 임플란트를 ‘다시 심기’만 하지 않습니다.
실패의 원인을 정확히 분석하고,
환자에게 가장 적합한 맞춤형 치료 계획을 세웁니다.

서울하늘에치과
임플란트 재수술 치료 사례

56세, 남치과 폐업으로 사후 관리 부재
“임플란트가 다 망가지고 빠졌어요. 남은 것도 흔들리고 아픈데,
치료받았던 치과가 없어졌어요.”
치료 전
치료 후
치료 전
  • 치료 받은 치과의 폐업, 사후 관리가 안됨
  • 임플란트 주위 염증 장기간 방치
  • 잇몸 뼈가 녹아서 없어지고 임플란트 빠짐
치료 후
  • 문제가 생길 가능성을 최소화한 위치에 충분한 수의 임플란트 식립
  • 정기적인 검진과 관리로 합병증 조기에 차단
59세, 남 발치의 근본적인 원인을 해결하지 않은 채 임플란트만 진행
“큰 돈 들여 했던 임플란트가 아프고 냄새가 나요.
불편하지만 다시 하려니 경제적 부담이 커서 참고 있었어요.”
치료 전
치료 후
치료 전
  • 발치의 근본 원인인 치주염, 전신질환(당뇨)에 대한 개선책 없음
  • 외산 임플란트를 필요 이상의 개수로 식립하여 지나친 비용 발생
  • 오히려 관리가 어려워서 임플란트 주위염 악화됨
치료 후
  • 오염된 임플란트 제거, 양호한 기존 임플란트 최대한 재사용
  • 잇몸 염증의 치아 치료를 병행하여 염증 가능성 최대한 줄임
  • 환자의 경제적 부담을 최소화하면서 치료 효율 극대화
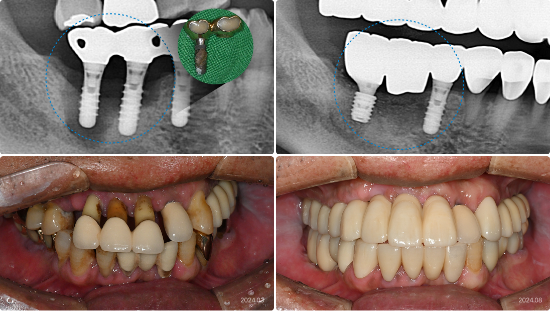
63세, 여 잘못된 임플란트 수술
“임플란트에 음식물이 너무 많이 끼고, 항상 염증이 있어서 불편해요.
임플란트 머리도 자꾸 빠져요.”
치료 전
치료 후
치료 전
  • 임플란트 식립 위치가 부적절하여 문제가 발생할 수 밖에 없음
  • 임플란트 사이가 지나치게 좁아서 관리가 어렵고 염증 지속적 발생
  • 임플란트와 앞 치아 사이가 너무 넓어서 음식물이 쉽게 끼고 보철물이 계속 탈락됨
치료 후
  • 잘못된 임플란트를 제거 후 적절한 위치로 재식립
  • 제거와 재식립을 동시에 진행하여 치료 기간 단축
  • 총 치료 기간 2.5개월
63세, 남 잘못된 치료 계획으로 인한 잇몸 문제
“임플란트 주변 잇몸이 계속 붓고 피가 나요.”
치료 전
치료 후
치료 전
  • 적절하지 못한 크기와 잘못된 위치의 임플란트가 염증과 실패 유발
  • 충분한 수의 임플란트임에도 불구하고 전부 다 연결되어 있어서
    관리 및 치료가 불가능
  • 하루라도 치아가 없이 지낼 수 없는 사회적 위치에서 위 턱의
    모든 임플란트와 치아를 제거해야 하는 어려운 상황
치료 후
  • 3D CT로 사전에 잇몸 뼈 상태를 정밀하게 분석, 재식립할 위치와
    치료 계획 설정
  • 수면 마취 하에 위 턱의 모든 임플란트와 보철물을 제거, 염증 깨끗하게
    긁어냄
  • 전악을 즉시 재식립, 디지털 임플란트 시스템으로 하루 만에 고정성
    임시치아 장착
60세, 여 잘못된 보철
“보철물이 잘 안 맞고, 염증이 자꾸 생겨요.”
치료 전
치료 후
치료 전
  • 임플란트 보철이 잘못 제작되어 경계 부위가 벌어짐
  • 유해 세균이 모이고 증식할 수 있는 틈이 되어 염증 발생
  • 염증이 심화되어 잇몸뼈 흡수, 악취 및 통증 유발
치료 후
  • 기존 임플란트와 염증 조직 깨끗하게 제거
  • PRF(자가혈이식재)를 동반한 뼈이식 동시 진행, 잇몸뼈 재건
  • 보철물 적합 시 경계부가 부드럽게 이어지도록 철저히 확인
더 많은 치료 사례 보기

임플란트, 재치료가 더 어렵습니다.

자연 치아를 발치하게 되었을 때 한 번,
임플란트를 제거하게 되었을 때 또 한 번,
잇몸뼈의 손실이 이중으로 발생한 상황에서
남아 있는 소중한 뼈를 최대한 보존하면서
임플란트 및 염증을 깨끗이 제거하고,
손상된 잇몸 뼈를 재생시키고 잇몸의 회복까지 고려해야 하는,
고난이도의 임플란트 치료입니다.

임플란트 재수술도 결국, 수술입니다.

고난이도 임플란트 치료, 임플란트 재수술도 결국은 ‘수술’입니다.
그리고 입 안 ‘수술’의 전문가는 ‘구강악안면외과 전문의’입니다.

서울하늘에치과는 구강악안면외과 전문의
박민우 대표원장이 상주하며,
다양한 임플란트 부작용과 합병증의 치료,
다수의 난이도 높은 임플란트 재치료를 책임진료 합니다.

임플란트 재수술 진행 과정

STEP 01

정밀 진단(3D CT 촬영 및 구강스캔)

STEP 02

실패 원인 분석 및 치료 계획 수립

STEP 03

오염된 임플란트, 염증 조직 제거

STEP 04

임플란트 재식립
필요 시 골이식/잇몸 재건술

STEP 05

예비치아 당일 제작 및 장착(필요시)

STEP 06

오염된 임플란트, 염증 조직 제거

임플란트 재수술 자주 묻는 질문

Q

임플란트 재수술 보험 적용은 되나요?

A

임플란트의 제거술은 건강보험 적용이 가능한 진료 항목이며, 임플란트 재식립도 보험 임플란트가 가능한 연령, 갯수인 경우 국민건강보험 적용이 가능합니다. 잇몸뼈 이식술, 잇몸 재건술 등의 일부 항목은 건강 보험 적용이 되지 않을 수 있습니다.

Q

임플란트 재수술 시 통증이나 불편함은 어느 정도인가요?

A

임플란트 재수술은 전문적인 의료진이 시행한다면 일반 임플란트 식립과 통증은 크게 차이 나지 않습니다.
수술 후 약간의 통증과 붓기가 있을 수 있으나 대부분 며칠안에 회복되는 정도입니다.

Q

임플란트 재수술 후에도 임플란트 관리를 잘하면 평생 사용할 수 있나요?

A

재수술 임플란트도 정기 검진과 철저한 관리를 병행하면 장기간, 심지어 평생 사용할 수 있습니다.
단, 처음보다 더 세심한 관리가 필요하며, 문제 발생 시 즉시 대응하는 것이 중요합니다.

Q

임플란트 재수술시 뼈이식이나 잇몸 재건술 꼭 필요한가요?

A

재수술에서 뼈이식이나 잇몸 재건술은 필수 시술이 아니라 필요에 따라 결정됩니다.
재수술 전 정밀 진단(3D CT, 구강 스캔)으로 뼈와 잇몸 상태를 확인하고, 전문의가 환자 맞춤 계획을 세워야 가장 안전하고 효율적인 재수술이
가능합니다.

  • 개인에 따라 치료 결과는 다를 수 있습니다.
  • 출혈, 붓기, 감염, 신경손상 등의 부작용이 나타날 수 있습니다.
  • 수술 전 반드시 의료진과 충분한 상담 후 진행하시길 바랍니다.

상담문의