-
2024-11-14
2025-06-2050대 여성, 고난이도(상하악앞니,뼈이식) 임플란트 6개 식립
-
2023-08-03
2023-08-0360대 여성, 미백
-
2024-12-13
2025-03-0780대 여성, 원데이 임플란트 2개 식립(앞니)
-
2024-12-13
2024-12-1480대 여성, 원데이 임플란트 2개 식립(앞니) / 수술 다음날 예비치아 장착
-
2022-07-23
2022-12-1250대 여성, 재수술 임플란트(오른쪽 아래)
-
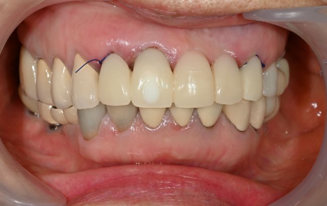
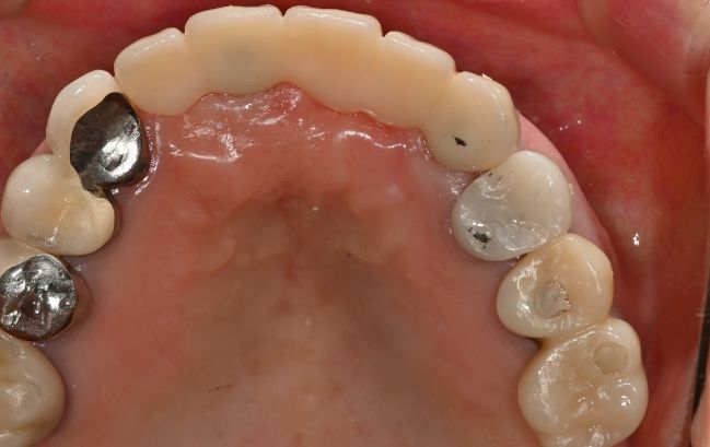
2022-04-22
2022-08-0870대 남성, 상악 전체 임플란트 8개 식립
-
2022-04-22
2022-08-0870대 남성, 상악 전체 임플란트 8개 식립
-
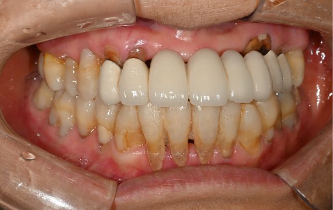
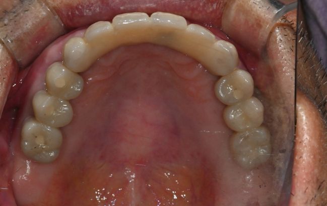
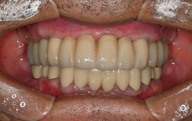
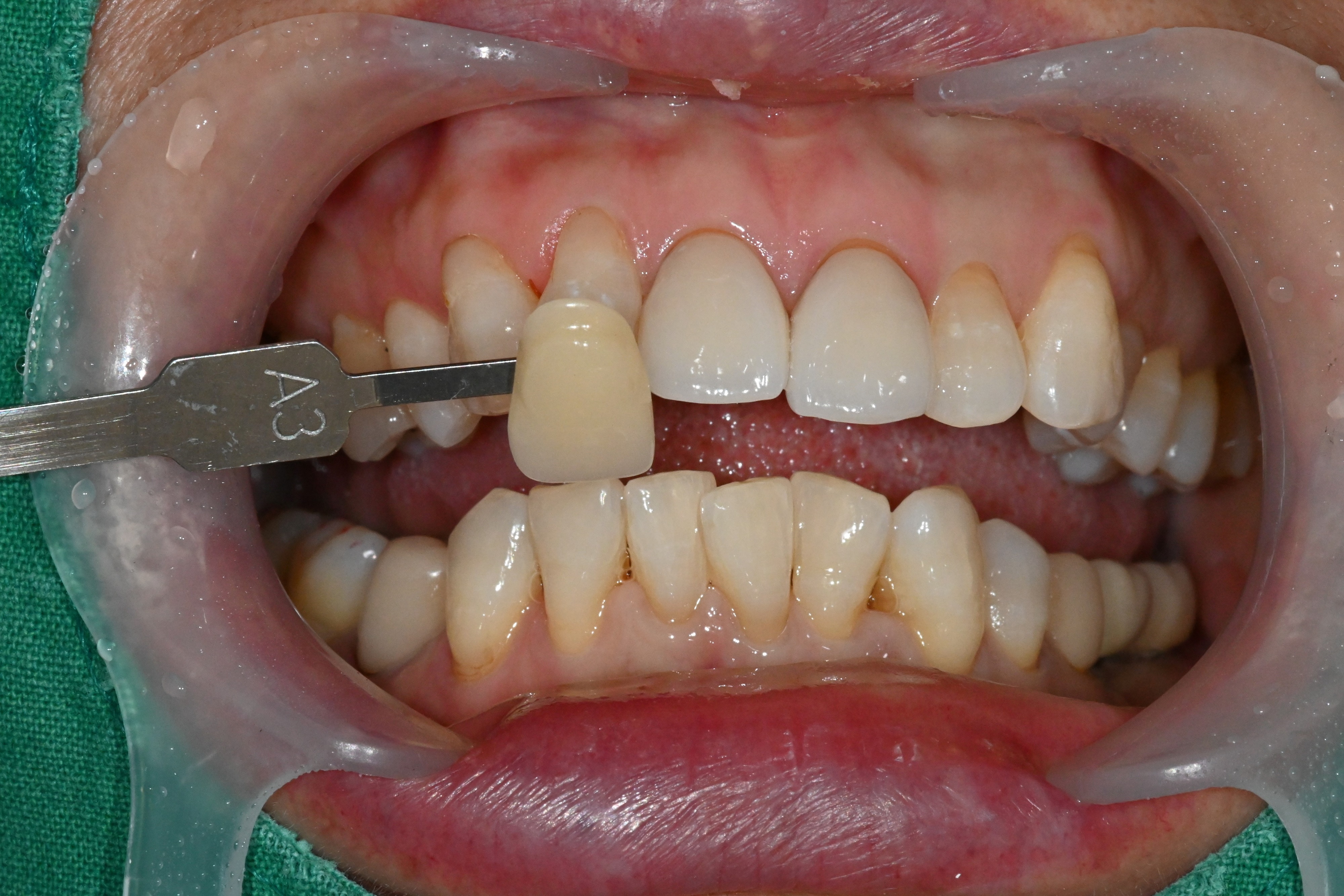
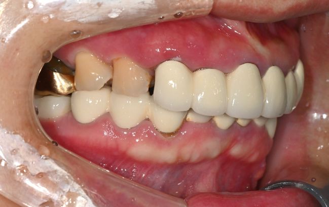
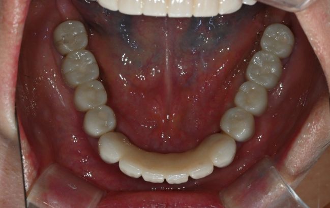
2022-07-09
2022-12-0150대 여성, 전체 임플란트 19개 식립
- · 위 임상 사진은 서울하늘에치과에서 진료를 시작하고 마친 동일한 환자의 사진입니다.
- · 위 임상 사진은 동일한 조건으로 촬영되었으며, 사진에 대한 별도의 조작이 처리되지 않았습니다.
- · 수술 및 치료 과정에서 부작용이 발생할 수 있으므로 의료진과의 충분한 상담과 신중한 판단이 요구됩니다.