loading

발치보다 회복의 기회를 먼저,
잇몸 살리기

임플란트를 잘하는 병원일수록 발치를 서두르지 않습니다.

임플란트는 언제라도 할 수 있지만, 자연치아는 한 번 잃으면 되돌릴 수 없기에
살릴 수 있는 치료부터 먼저 해야 합니다.

잇몸 질환은 치아 상실의 가장 흔한 원인이지만
천천히 진행되기에 알기 어렵고, 치료 시기를 놓치기도 쉽습니다.

또 잇몸 치료는 결과가 바로 나타나지 않기에
그동안은 병원에서도 충분한 노력을 기울이지 않는 경우도 있었습니다.

저희는 모든 치아를 살릴 수 있다고 말하지 않습니다.
하지만 결국 뺄 거라고 쉽게 말하고 서두르지도 않습니다.

서울하늘에치과의 원칙은 단순합니다.
치아 상태를 정확히 파악해 최선의 치료를 계획하고 실행할 수 있는 전문성,
환자의 치아를 내 치아처럼 아끼는 환자 중심의 진심으로, 살릴 수 있다면 끝까지,
어렵다면 그 이유와 다음 선택을 명확히 설명 드립니다.

잇몸 질환 진행 과정

건강한 잇몸 이미지
치은염 이미지
치주염 이미지

건강한 잇몸

치은염 (초기 잇몸병)

치주염 (중기, 후기 잇몸병)

색, 모양
  • 담홍색(연분홍)
  • 가장자리가 날렵하고 얇음
  • 만지면 단단
  • 붉거나 진분홍
  • 광택 나고 부음
  • 가장자리가 둥글고 두꺼움
  • 짙은 붉은색/보랏빛
  • 물렁하고 잇몸이 내려가거나 틈 벌어짐
증상
  • 통증, 출혈 거의 없음
  • 입냄새 없음
  • 양치, 치실 때 피 남
  • 따끔, 가려움
  • 입냄새 시작
  • 자주 피, 고름 날 수 있고 시림
  • 씹을 때 아프고, 치아 흔들림
  • 음식을 잘 끼우고식을 잘 끼임
  • 입냄새 심함
치료 방법
  • 정기 스케일링(6개월 간격)
  • 바른 양치 습관/치실·치간칫솔
  • 금연, 당뇨 관리
  • 스케일링, 염증 정리를 대부분 호전
  • 양치 습관 (칫솔질 각도, 치실/치간칫솔)
  • 2~4주 후 재점검
  • 깊은 잇몸 치료(뿌리까지 붙은 치석 제거)
  • 필요 시 재생치료(조직 재생치료)
  • 잇몸성형/뼈 보강
  • 정기 유지관리(3~4개월) 필수
  • 살리기 어렵다면 발치, 임플란트 검토

잇몸 질환 치료 방법

비수술적 잇몸 치료 - 치주 소파술

잇몸 아래 치아 뿌리 부위까지 치석이 내려간 경우, 국소마취 또는 수면마취 하에
‘큐렛(curette)’이라는 전용 기구로 치석과 염증 조직을 정밀하게 제거합니다.

수술적 잇몸 치료 - 잇몸 수술

치아 뿌리 깊숙이 자리한 치석을 비수술적 치료만으로 제거하기 어려울 때,
잇몸을 절개해 직접 시야를 확보한 뒤, 숨어 있는 치석과 염증 조직을 깨끗이 제거하는 치료입니다.

치주조직 재생 치료제, 엠도게인

엠도게인®은 잇몸 조직(잇몸, 잇몸뼈)의 재생을 돕는 치료제입니다.

단백질 겔 형태의 엠도게인은 치아가 처음 형성될 때의 자연 신호를 모방해
치아 뿌리 주변에 새 살(백악질, 치주 인대, 잇몸 뼈)이 자라나도록 유도합니다.

일반적인 잇몸 치료나 수술은 치석을 제거해 병의 진행을 멈추는 데 초점을 두지만,
엠도게인®을 적절히 사용하면 이미 손상된 잇몸 조직이 다시 채워지는 효과를 기대할 수 있습니다.

또한 엠도게인®은 치주 치료시 보험 적용이 가능하여 발치나 임플란트보다
비용 부담이 훨씬 적으면서 자연치아를 보존할 수 있는 경제적인 방법이기도 합니다.

# 치주 조직 재생 # 잇몸 건강 개선 # 자연치아 보존

엠도게인 치료 과정

  • STEP 01

    치주 치료로 잇몸염증 제거

  • STEP 02

    잇몸 절개 후 치아 뿌리 노출

  • STEP 03

    치아 뿌리 표면 깨끗하게 정리

  • STEP 04

    꼼꼼히 엠도게인 도포

  • STEP 05

    잇몸 봉합

  • STEP 06

    정기 검진으로 상태 확인

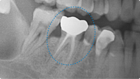
서울하늘에치과 잇몸 살리기 치료 사례

01

오랜 잇몸병으로 발치 직전의 치아, 잇몸 재생 치료로 자연치아 유지

치료 전
치료 후

치료 내용

  • 좁고 깊은 치주낭(잇몸 주머니), 염증과 치아 흔들림, 타 치과에서 발치 권유
  • 치주수술 + 엠도게인 적용으로 잇몸과 잇몸뼈 재생 유도
  • 치료 후 치주낭 깊이 감소, 잇몸 회복 및 흔들림 안정

02

약해진 잇몸과 뼈, 잇몸 재생 치료로 지켜낸 편안한 일상

치료 전
치료 후

치료 내용

  • 이전에 치료받은 치아의 잇몸이 내려가서 빈공간에 잦은 염증
  • 치주수술 + 엠도게인 적용으로 잇몸 재생 유도
  • 치료 후 잇몸과 잇몸 뼈가 재생되어 빈 공간이 채워짐

03

타 치과에서 발치 권유 받은 치아, 잇몸 재생 치료로 자연치아 유지

치료 전
치료 후

치료 내용

  • 왼쪽 아래 어금니 잇몸 주머니가 깊어져서 잦은 염증과 불편함 발생
  • 엠도게인 활용 잇몸, 뼈 재생 치료 진행
  • 치료 후 잇몸뼈가 재생되어 주머니의 깊이가 줄어들고 염증 빈도 감소

잇몸 살리기 자주 묻는 질문

A

대부분 국소마취로 진행해 시술 중 통증은 거의 없습니다. 수술 후에는 1~2일 정도 뻐근함이나 붓기가 있을 수 있지만 대체로 짧게 지나가며,
필요 시 진통제와 가글을 처방해 드립니다. 원하실 경우 의식하진정(수면 진정) 옵션도 선택할 수 있습니다.

A

아닙니다. 엠도게인은 깊고 벽이 남아 있는 골 결손(인접부가 깊게 파인 형태)에서 효과가 좋습니다.
반대로 너무 넓게 뼈가 소실된 경우, 뿌리 갈라짐 3급, 뿌리 균열 등은 재생 효과가 제한됩니다.
또 흡연, 당뇨, 양치 습관 같은 관리 요소도 결과에 큰 영향을 줍니다.

A

엠도게인은 국내에서 건강보험이 적용되는 치주 재생 치료입니다.
적응증을 충족하고 급여 기준에 맞게 진료할 경우, 본인 부담금은 발치와 후속 임플란트 치료에 비해 크지 않습니다.

A

초기 염증, 출혈은 몇 주에서 수개월에 걸쳐 차분히 호전됩니다.
잇몸 주머니 깊이와 붙는 힘 등 임상 지표 변화는 보통 3~6개월 후 확인할 수 있으며,
X-ray에서 뼈 무늬 변화는 대게 6~12개월 이후 평가합니다. 참고로 엠도게인 재료 자체는 X-ray에 보이지 않습니다.

  • · 개인에 따라 치료 결과는 다를 수 있습니다.
  • · 출혈, 붓기, 감염, 신경손상 등의 부작용이 나타날 수 있습니다.
  • · 수술 전 반드시 의료진과 충분한 상담 후 진행하시길 바랍니다.

상담문의