-
2022-07-09
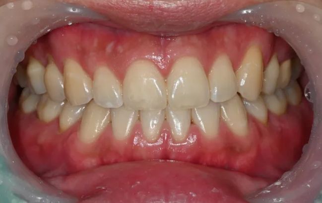
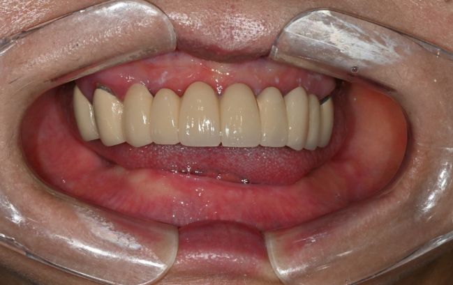
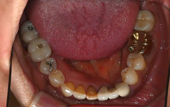
2022-12-0150대 여성, 전체 임플란트 19개 식립
-
2023-08-17
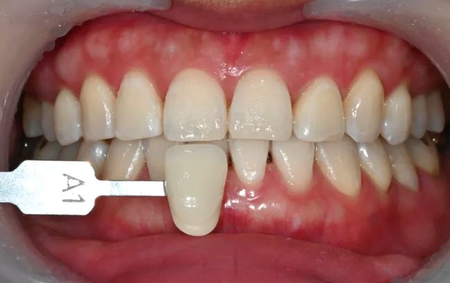
2023-08-1740대 여성, 미백
-
2024-05-03
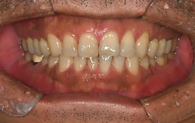
2024-05-0340대 남성, 미백
-
2022-05-06
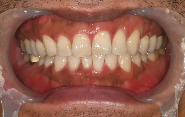
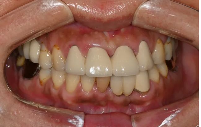
2024-09-0250대 여성, 재수술 임플란트(오른쪽 위아래)
-
2022-05-06
2024-09-0250대 여성, 재수술 임플란트(오른쪽 위아래)
-
2021-06-04
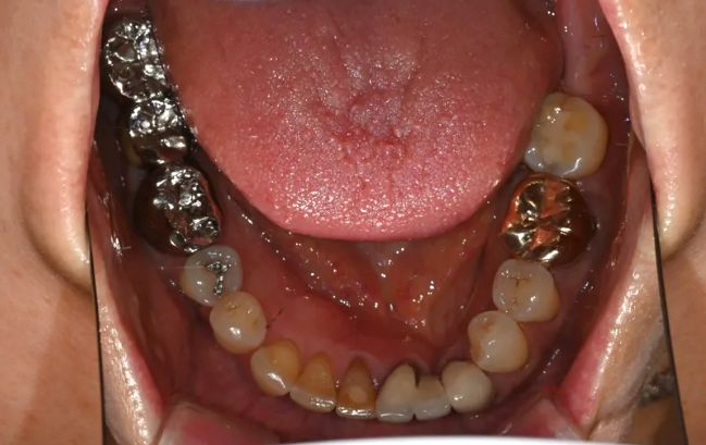
2022-06-0760대 남성, 전체 임플란트 14개 식립
-
2021-06-04
2022-06-0760대 남성, 전체 임플란트 14개 식립
-
2022-03-30
2022-03-3030대 남성, 미백
- · 위 임상 사진은 서울하늘에치과에서 진료를 시작하고 마친 동일한 환자의 사진입니다.
- · 위 임상 사진은 동일한 조건으로 촬영되었으며, 사진에 대한 별도의 조작이 처리되지 않았습니다.
- · 수술 및 치료 과정에서 부작용이 발생할 수 있으므로 의료진과의 충분한 상담과 신중한 판단이 요구됩니다.