-
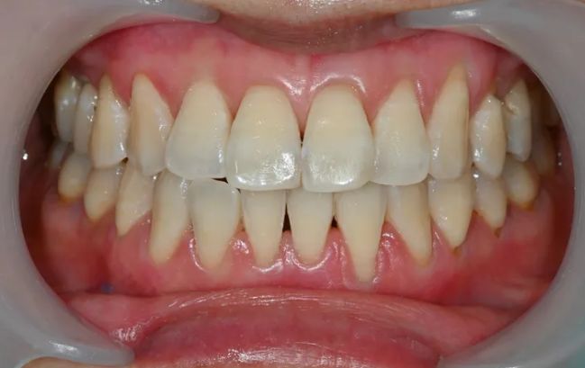
2022-04-22
2022-04-2240대 여성, 미백
-
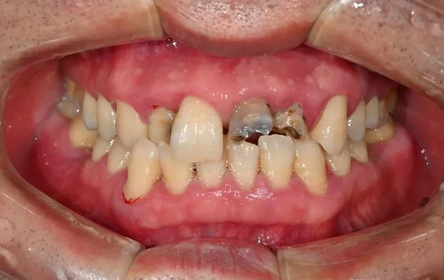
2021-06-04
2022-06-0760대 남성, 고난이도(상악동거상술) 임플란트 14개 식립
-
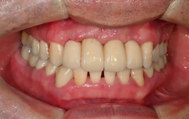
2024-01-09
2024-01-3030대 여성, 라미네이트
-
2025-08-26
2025-09-0560대 여성, 라미네이트
-
2024-11-29
2025-05-0740대 남성, 원데이 임플란트 6개 식립(앞니,어금니 아래)
-
2024-11-29
2025-05-0740대 남성, 원데이 임플란트 6개 식립(앞니,어금니 아래)
-
2024-11-29
2025-05-0840대 남성, 원데이 임플란트 6개 식립(앞니,어금니 아래)
-
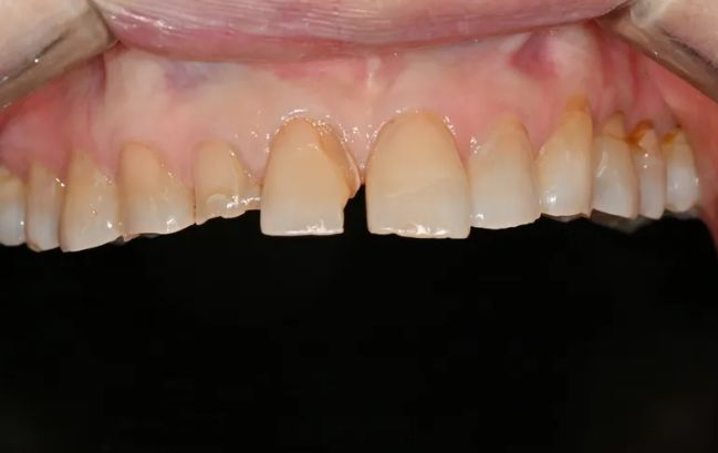
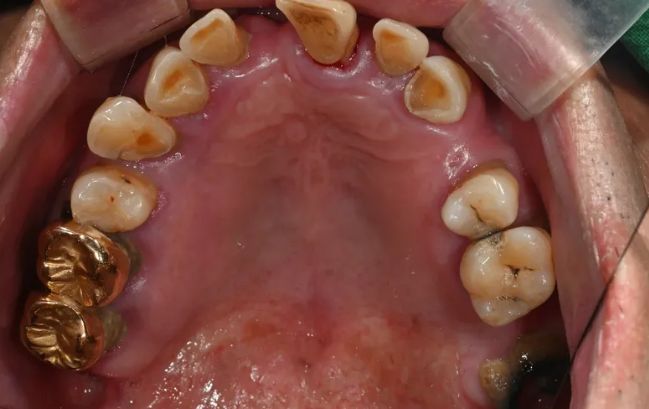
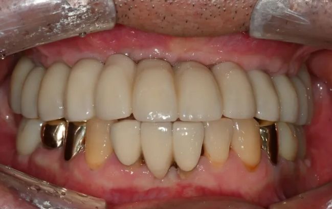
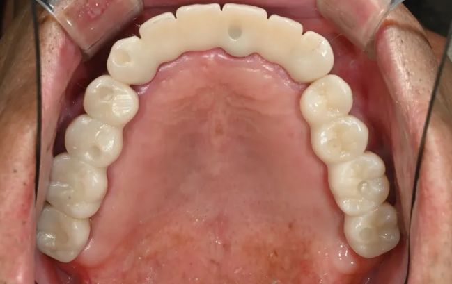
2025-03-12
2025-07-2460대 남성, 원데이 수면 전체 임플란트 20개 식립
- · 위 임상 사진은 서울하늘에치과에서 진료를 시작하고 마친 동일한 환자의 사진입니다.
- · 위 임상 사진은 동일한 조건으로 촬영되었으며, 사진에 대한 별도의 조작이 처리되지 않았습니다.
- · 수술 및 치료 과정에서 부작용이 발생할 수 있으므로 의료진과의 충분한 상담과 신중한 판단이 요구됩니다.