-
2021-01-02
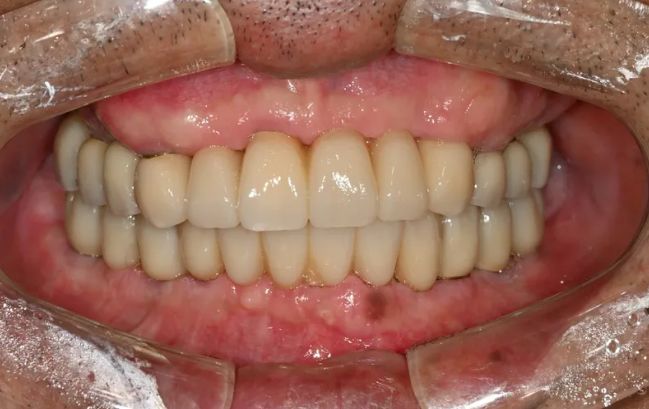
2021-05-2860대 남성, 전체 임플란트 17개 식립
-
2021-01-02
2021-05-2860대 남성, 전체 임플란트 17개 식립
- · 위 임상 사진은 서울하늘에치과에서 진료를 시작하고 마친 동일한 환자의 사진입니다.
- · 위 임상 사진은 동일한 조건으로 촬영되었으며, 사진에 대한 별도의 조작이 처리되지 않았습니다.
- · 수술 및 치료 과정에서 부작용이 발생할 수 있으므로 의료진과의 충분한 상담과 신중한 판단이 요구됩니다.