-
2024-11-09
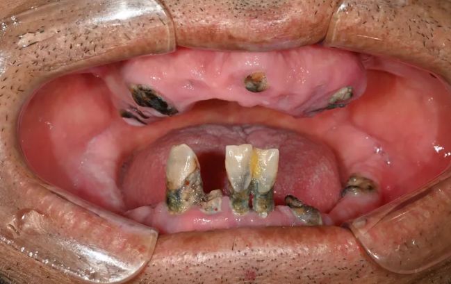
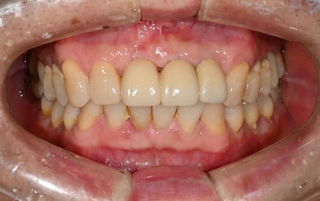
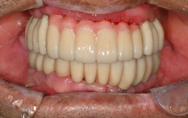
2024-03-2260대 남성, 전체 임플란트 13개 식립
-
2022-02-03
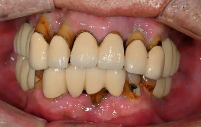
2022-06-0750대 남성, 원데이 수면 전체 임플란트 19개 식립
-
2025-05-02
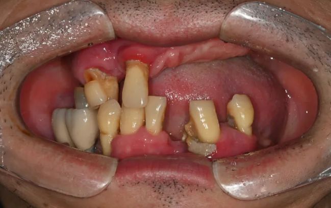
2025-07-2250대 남성, 원데이 수면 전체 임플란트 9개 식립
-
2023-05-02
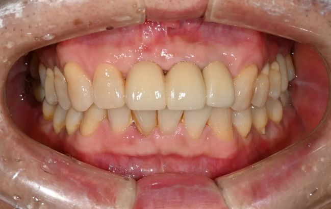
2024-02-2350대 남성, 원데이 전체 임플란트 18개 식립
-
2023-05-02
2024-02-2350대 남성, 원데이 전체 임플란트 18개 식립
-
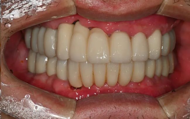
2024-01-08
2024-03-2250대 남성, 원데이 앞니 임플란트
-
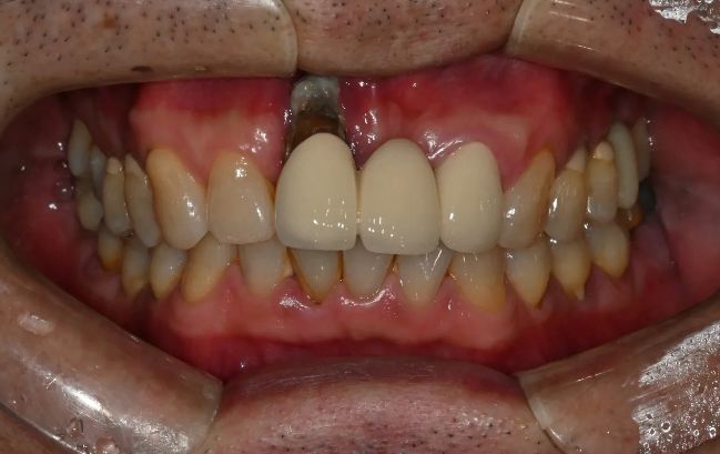
2024-01-08
2024-03-2250대 남성, 앞니 임플란트
-
2024-05-13
2025-04-1460대 여성, 올포유 임플란트 12개 식립
- · 위 임상 사진은 서울하늘에치과에서 진료를 시작하고 마친 동일한 환자의 사진입니다.
- · 위 임상 사진은 동일한 조건으로 촬영되었으며, 사진에 대한 별도의 조작이 처리되지 않았습니다.
- · 수술 및 치료 과정에서 부작용이 발생할 수 있으므로 의료진과의 충분한 상담과 신중한 판단이 요구됩니다.